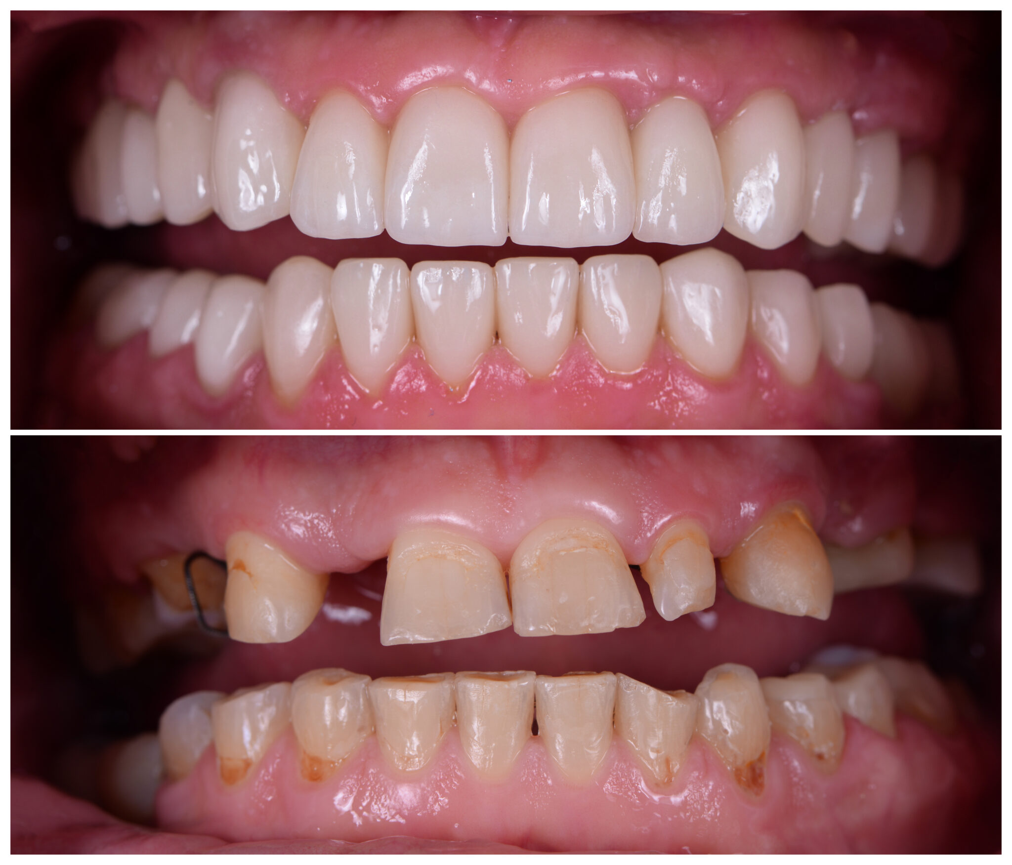
Missing teeth can affect more than just your smile. They impact your ability to eat comfortably, speak clearly, and feel confident in social settings. Dental implants offer a permanent solution that restores both function and appearance.
At our Briarcliff Manor dental office, we provide advanced implant dentistry with the precision and care you deserve. Our team of multi-specialist dentists brings world-class training to Northern Westchester. We understand that replacing missing teeth is a significant decision, which is why we take the time to create a personalized treatment plan for each patient. With our commitment to Whole Body Dentistry and the latest technology, we help you achieve a healthy, complete smile.
Dental implants are titanium posts surgically placed into your jawbone to serve as artificial tooth roots. Once the implant fuses with your bone through a process called osseointegration, it provides a stable foundation for a custom crown, bridge, or denture.
Unlike traditional dentures or bridges that sit on top of your gums, implants become a permanent part of your mouth structure.
The result looks, feels, and functions like a natural tooth. You can eat your favorite foods without worry, speak without slipping dentures, and smile without feeling self-conscious. Implants also help preserve your jawbone density, preventing the facial sagging that often occurs with missing teeth. If you experience jaw discomfort or TMJ issues, our team can evaluate whether implants might help address underlying structural problems.
Benefits of Choosing Dental Implants
This tooth replacement option offers advantages that other solutions cannot match. They provide exceptional stability because they anchor directly into your jawbone. This means no slipping, clicking, or discomfort while eating or speaking. You can enjoy corn on the cob, apples, and other foods that might be challenging with dentures.
Implants also protect your oral health long-term. When you lose a tooth, the surrounding bone begins to deteriorate without the stimulation from the tooth root. Implants prevent this bone loss by mimicking the natural function of tooth roots. This preserves your facial structure and prevents the sunken appearance that can develop over time.
Another significant benefit is durability. With proper care, implants can last a lifetime. Traditional bridges typically need replacement every 10 to 15 years, while dentures require adjustments as your mouth changes shape. Implants eliminate these ongoing concerns and expenses.
The Dental Implant Process
Your implant journey begins with a comprehensive evaluation at our office. We use advanced imaging technology to assess your jawbone density, sinus location, and nerve pathways. This detailed planning ensures precise implant placement and optimal results.
During the surgical procedure, we place the titanium implant into your jawbone under local anesthesia or sedation. The surgery is typically more comfortable than patients expect. After placement, the implant needs time to integrate with your bone, usually three to six months. During this healing period, we may provide a temporary restoration so you never have to go without teeth.
Once healing is complete, we attach an abutment to the implant, which connects the implant to your final restoration. We then place a custom-crafted crown, bridge, or denture designed to match your natural teeth perfectly. The entire process requires several appointments, but the result is a permanent solution that transforms your smile and quality of life.
Who Can Get Dental Implants?
Most people with missing teeth are candidates for this treatment. You need adequate jawbone density to support the implant and healthy gums free from periodontal disease. If you have experienced bone loss, we may recommend bone grafting to build up the area before implant placement.
Certain health conditions require special consideration. Uncontrolled diabetes, active cancer treatment, or severe osteoporosis may affect healing and implant success. Heavy smoking can also compromise the osseointegration process. During your consultation, we review your medical history and current health status to determine if implants are right for you. We also offer emergency dental services if you’ve recently lost a tooth and need immediate care.
Age is rarely a barrier to implant treatment. While we typically wait until jaw growth is complete in younger patients, older adults often make excellent candidates. Your overall health matters more than your age when considering implant placement. Our family dentistry approach means we can evaluate patients of all ages for implant candidacy.
Why Choose Our Briarcliff Practice?
Our practice brings together a team of multi-specialist dentists under one roof. This means you receive coordinated care from professionals trained in different aspects of dentistry. Our oral surgeons handle implant placement with precision, while our restorative dentists create beautiful, functional crowns and bridges.
We invest in the latest dental technology to improve your experience and outcomes. Our digital imaging provides detailed views for accurate treatment planning. Computer-guided implant surgery enhances precision and reduces healing time. These advanced tools, combined with our clinical training, help us deliver exceptional results. Our practice also incorporates holistic dentistry principles, considering how your oral health connects to your overall wellness.
We also understand that this treatment represents a significant investment. We accept most dental insurance plans and offer the NWDC Membership Plan for patients without insurance coverage. Our team works with you to explore financing options that fit your budget, making quality implant dentistry accessible.
Advanced Implant Options
Beyond single-tooth replacement, we offer several advanced implant solutions. Implant-supported bridges replace multiple missing teeth without affecting adjacent healthy teeth. All-on-4 or All-on-X treatments can replace an entire arch of teeth with just four to six strategically placed implants.
For patients who struggle with traditional dentures, implant-retained dentures provide remarkable stability. The implants snap into place on the denture, preventing slipping while still allowing you to remove the denture for cleaning. This option combines the stability of implants with the convenience of removable dentures.
We also provide same-day implants in select cases. This approach places the implant and a temporary crown in a single appointment, reducing treatment time significantly. Our team evaluates your specific situation to determine if immediate loading is appropriate for you.
Ready to explore how this treatment can restore your smile and confidence? Contact our Briarcliff dental office to schedule your consultation. Our team looks forward to helping you achieve a complete, healthy smile that lasts a lifetime.
Start Your Smile Transformation Today
Transform your smile and boost your confidence with custom dental veneers and implants at Briarcliff Dental Care. Our experienced team is ready to help you achieve the beautiful, functional smile you deserve through personalized treatment plans tailored to your unique needs.
📍 Visit Us: 540 N. State Road, Suite 5, 2nd Floor, Briarcliff Manor, NY 10510
📞 Call: (914) 941-1639
📩 Or Request an Appointment Online Today
Take the first step toward your dream smile with Briarcliff Manor’s premier dental team. We look forward to welcoming you to our practice and showing you what truly personalized dental care feels like.
Frequently Asked Questions
-
How much do dental implants cost in Briarcliff Manor?
Dental implant costs vary based on individual needs, typically ranging from $3,000 to $5,000 per implant including the crown. Factors affecting cost include the number of implants needed, bone grafting requirements, and crown material selection.
At Briarcliff Dental Care, our world-trained general and multi-specialist dentists provide comprehensive care using the latest dental technology. All dental care can be completed in our office with our team.
We accept most major dental insurance plans and provide detailed treatment estimates during your consultation. For patients without dental insurance, we offer the NWDC Membership Plan to make implant treatments more affordable, and we also work with CareCredit and Cherry for flexible financing options. Many patients find that implants offer excellent long-term value compared to other tooth replacement options, providing a permanent solution for missing teeth.
-
How long do dental implants last?
Dental implants are designed to be a permanent solution and can last 25-30 years or even a lifetime with proper care. The titanium implant post fuses with your jawbone, creating a stable foundation that won’t shift or decay like natural teeth. Regular brushing, flossing, and professional cleanings are essential for implant longevity. Most patients find that implants feel and function just like their natural teeth.
-
Am I a candidate for dental implants in Briarcliff Manor?
Most adults with missing teeth are candidates for this treatment, provided they have adequate jawbone density and healthy gums. During your consultation, we’ll evaluate your oral health, bone structure, and medical history to determine if implants are right for you. Age is rarely a limiting factor, and even patients with some bone loss may be candidates with bone grafting procedures.
-
What's the dental implant procedure like?
The dental implant process typically involves three phases over 3-6 months. First, we surgically place the titanium implant post into your jawbone. After healing and osseointegration (bone fusion), we attach an abutment to the implant. Finally, we place your custom crown. Most patients experience minimal discomfort and can return to work the next day. We provide detailed aftercare instructions to ensure proper healing.
-
How do dental implants compare to dentures or bridges?
This treatment offers superior stability, comfort, and longevity compared to traditional dentures or bridges. Unlike dentures, implants don’t slip or require adhesives. Unlike bridges, implants don’t require grinding down adjacent healthy teeth. They also help preserve jawbone structure and provide the most natural chewing and speaking experience. While the initial investment is higher, implants often prove more cost-effective long-term.
Meet Our Experienced Dentists in Briarcliff Manor
Dr. Ehrmann received her Doctor of Dental Surgery from NYU College of Dentistry and completed advanced education in General Dentistry at Hudson Valley Hospital. Her areas of expertise include Cosmetic Dentistry, General Dentistry, Family Dentistry, and management of Dental Anxiety and Phobia.
Dr. Nicole Jackson earned her DMD from Rutgers School of Dental Medicine and completed her residency training at Westchester Medical Center, a Level-1 trauma hospital. She is passionate about all aspects of general dentistry, including Cosmetic Dentistry, Invisalign®, Endodontics, Prosthodontics, Periodontics, and Oral Surgery. Dr. Jackson is an AAFE-Certified Injector for Botox and Dermal Fillers, and is committed to providing honest, high-quality care.
Briarcliff Dental Care
540 N. State Rd. Suite 5,
2nd Floor Briarcliff Manor,
NY 10510
Mon-Thurs: 8AM-5PM
Fri-Sun: Closed
Schedule Your Consultation at Briarcliff Dental Care
Transform your health journey with dentistry that sees beyond your smile. At Briarcliff Dental Care, we recognize the profound connection between oral health and your overall wellbeing. It’s not just about treating teeth, but caring for the whole person. Our comprehensive approach integrates advanced dental techniques with holistic health principles, addressing the root causes of issues rather than just symptoms.
Experience the difference with our complimentary consultation where we’ll listen to your concerns, thoroughly evaluate your oral health, and create a personalized treatment plan that supports your complete wellness goals. Whether you’re seeking preventative care, restorative solutions, or a complete smile transformation, our compassionate team is ready to guide you every step of the way. Contact us today to schedule your appointment and take the first step toward a healthier mouth and a healthier you. Your journey to complete wellbeing starts at Briarcliff Dental Care.




